MIM Software Logo

Solutions

Solutions


Radiation Oncology
Radiology & Nuclear Medicine
Theranostics
mpMRI Visualization and Analysis for Prostate
Remote Access
Enterprise

Radiation Oncology


MIM Maestro™
Contour ProtégéAI+™
MIM SurePlan™ MRT
MIM Symphony™ HDR Fusion
MIM Symphony™ LDR
MIM ComboTherapy™ GYN HDR/EBRT

MIM Maestro™


Better Target Volumes
Faster SIM to Treatment
Easier Reirradiation

Radiology & Nuclear Medicine


MIM Encore™
MIM SurePlan™ MRT
LesionID™ Pro
MIM SurePlan™ LiverY90
MIMneuro™
MIMcardiac™
MIM Symphony Dx™

MIM Encore™


Consolidate Resources
Boost Efficiency
Simplify IT Maintenance

Theranostics


MIM SurePlan™ MRT
LesionID™ Pro

mpMRI Visualization and Analysis for Prostate


MIM Symphony® Urology Ablation
MIM Symphony Dx™
bkFusion™

Remote Access


MIMcloud™
Mobile MIM™
VueMe™

Enterprise


Enterprise for Administrators
Enterprise for IT
Enterprise for Clinicians

Female doctor sitting behind a computer screen that has medical scans displaying.

Practical Dosimetry in Theranostics: A Guide for Resource-Constrained Clinics

Find out why personalized dosimetry is essential for radiopharmaceutical therapies and learn how to implement it effectively, even with limited resources.

Read the Blog white arrow pointing right
Literature & Case Studies

Literature & Case Studies


Brochures
Case Studies
Publications and White Papers

Medical scan with red organic shapes overlaying the corners.

Exploring the Use of Biological Effective Dose for Reirradiation

This presentation provides an overview of Biological Effective Dose (BED) and how it can be used in clinical practice with MIM.

Watch the Webinar white arrow pointing right
Support

Support


Contact Us
Knowledge Center
Software Downloads
Conformance & Integration Statements

Support

We're here to help. View available resources or reach out to MIM Software Support.

Get Assistance white arrow pointing right
About

About


About MIM
Distributors
Partnerships and Collaborations
Careers
Events
News and Press Releases

Careers

Join the MIM team to help drive patient care forward and build your career.

View Open Roles white arrow pointing right
Blog
Log In
Request a Demo

Product Demo

Using AI Auto-Contours Effectively

Significant time-savings are possible with AI auto-contouring. However, there may be instances where contour edits are needed to adjust them to your liking. Any minor edits can be done quickly and efficiently using Contour CoPilot®, a tool unique to Contour ProtégéAI+.

Field

Radiation Oncology

Organization

MIM Software Inc.

Country

USA

Tools Used

Contour ProtégéAI+™

Contour ProtégéAI+™

Lymph node level and OAR auto-contours ready for review in the TPS or MIM™. No clicks needed to launch.

In-Focus

Two Ways Contour CoPilot Can Be Helpful

Example 1

Lung: 2D Fill Tool + Contour CoPilot

lung contour - 1b

With Contour ProtégéAI+, a majority of the slices in the lung contour are accurate without manual work, saving significant contouring time. In this example, however, a few slices at the bottom of the lung — represented here with the yellow contour — need to be adjusted.

2d fill tool

The 2D Fill tool is used to correct the contour on one slice due to a steep drop-off in Hounsfield units. With Contour CoPilot, the corrected contour can be instantly deformed to the next slice with one click.

To complete the process, Contour CoPilot is used to correct any remaining adjacent contours.


Example 2

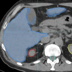
Liver: 2D Brush Tool + Contour CoPilot

liver contour - 1a

In this instance, an adjustment is necessary on separate sections of the liver contour.

liver contour - 3a -contour copilot

To remedy this, the 2D Brush tool is used with Contour CoPilot to make a quick adjustment on a few slices.


Tools for quick AI auto-contour refinement, such as Contour ProtégéAI+, make AI auto-contouring clinically useful with significant timesavings.

Download the PDF Version
  • Products
    • MIM Maestro™
    • Contour ProtégéAI+™
    • MIM ComboTherapy™ GYN HDR/EBRT
    • MIM Encore™
    • MIM SurePlan™ MRT
    • LesionID™ Pro
    • MIM SurePlan™ LiverY90
    • MIMcardiac™
    • MIMneuro™
    • MIM Symphony™ Urology Ablation
    • MIM Symphony Dx™
    • MIM Symphony™ LDR
    • MIM Symphony™ HDR Fusion
    • MIM Zero Footprint™
    • MIMcloud™
    • Enterprise
  • Resources
    • Brochures
    • Case Studies
    • Publications and White Papers
    • Blog
    • Support
  • Social Media
    • Twitter
    • LinkedIn
  • Company Info
    • About MIM
    • Distributors
    • Partnerships
      and Collaborations
    • Careers
    • Events
    • News and Press Releases
  • Legal
    • Website Terms of Use
    • Website Privacy Policy
    • Software and Services Privacy Policy
    • Technical and Organizational Measures
    • Security
Request a Demo
Support

MIM Software Inc.
25800 Science Park Drive - Suite 180
Cleveland, OH 44122
Support
US Toll-free: 866-421-2536
Tel: 216-455-0600
Fax: 216-455-0601
Finance
Finance Tel: 1-216-455-6103
Finance Email: finance@mimsoftware.com

© 2026 MIM Software Inc. MIM Software (and other MIM Software trademarks) are trademark of MIM Software Inc. GE is a trademark of General Electric Company. Used under trademark license.

Send Me More Information Arrow